
The professor of neurology and pediatrics at University of Rochester Medical Center spoke about her session at MDA’s 2023 conference.

The professor of neurology and pediatrics at University of Rochester Medical Center spoke about her session at MDA’s 2023 conference.

New data from a single-site, first-in-human study were presented at the 2023 MDA Conference.

The director of the Center for Biologics Evaluation and Research at the FDA discussed his keynote speech at the 2023 MDA Conference.

Data from the phase 4 RESPOND trial were presented at the 2023 MDA Conference.

The barrier is an essential part of keeping the brain safe, but it also prevents the immune system from eliminating brain cancer tumors.

Ahead of the May 29, 2023, action date, the FDA is now seeking to hold an advisory committee meeting on Sarepta’s investigational agent SRP-9001 (also known as delandistrogene moxeparvovec) for the treatment of Duchenne muscular dystrophy.

Review top news and interview highlights from the week ending March 17, 2023.

Jeffrey S. Chamberlain, PhD, Professor and McCaw Chair, Muscular Dystrophy, and director, Sen. Paul D. Wellstone Muscular Dystrophy Specialized Research Center, University of Washington School of Medicine, discussed the potential use of microdystrophin as an end point for clinical evaluations of gene therapies for DMD.

The associate professor of clinical pediatrics at Cincinnati Children's Hospital Medical Center discussed Sangamo Therapeutics’ gene therapy, ST-920, and the phase 2 STAAR clinical trial.

Catch up on the latest news, breakthroughs, and announcements from biotechnology companies making advancements in cell and gene therapies.

The associate professor of clinical pediatrics at Cincinnati Children's Hospital Medical Center discussed the limitations of the current standard of care for Fabry disease.

Matthew B. Harms, MD, associate professor of neurology at Columbia University, and medical consultant and care center director at the MDA, discussed the session he will be chairing at the conference.

Review top news and interview highlights from the week ending March 10, 2023.

The professor and director of the Sen. Paul D. Wellstone Muscular Dystrophy Specialized Research Center at University of Washington School of Medicine discussed working with the FDA toward a first disease-modifying therapy approval in Duchenne.

Catch up on the latest news, breakthroughs, and announcements from biotechnology companies making advancements in cell and gene therapies.

Samiah Al-Zaidy, MD, vice president of clinical development and lead on the GM1 Program at Passage Bio, discussed the latest results from the Imagine-01 clinical trial evaluating the investigational treatment PBGM01.

The associate professor of neurology at Columbia University spoke about the session he will be chairing at MDA’s 2023 conference.

SNK01 is primarily being assessed in combination and as a monotherapy for treating solid tumors.

Competitors REGENXBIO and Capricor Therapeutics both have gene therapy candidates in clinical trials.

AskBio’s AB-1003 was previously granted fast track designation by the FDA.

Four of 5 patients showed improvements in ejection fraction following bone marrow transplant.

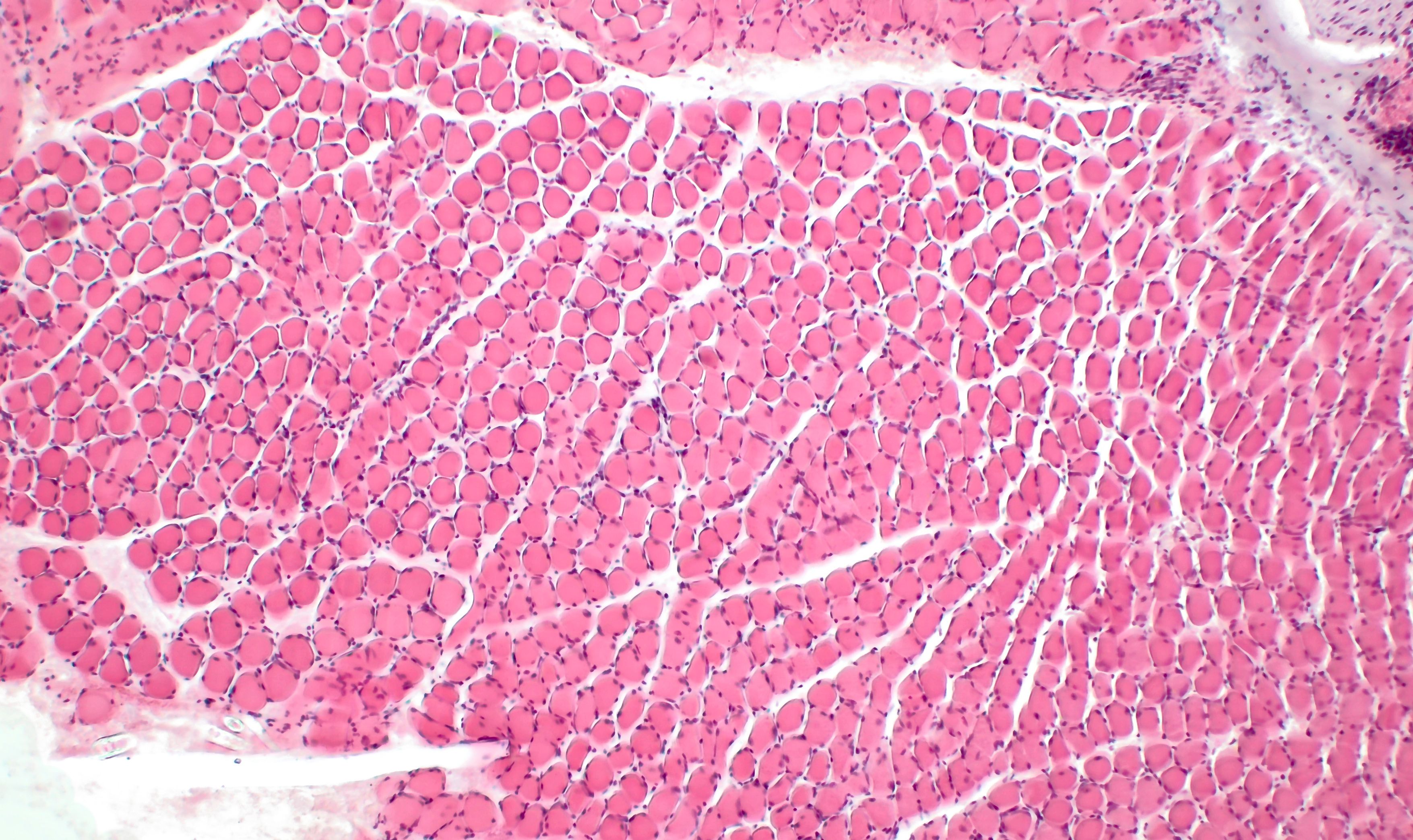
The therapy demonstrated an ability to repair injured muscle in mice models of Duchenne.

Catch up on the latest news, breakthroughs, and announcements from biotechnology companies making advancements in cell and gene therapies.

4D Molecular Therapeutics’ 4D-310 effected clinically meaningful improvements in left ventricular function, exercise capacity, and quality of life.

All dose-escalation patients withdrew from enzyme replacement therapy (ERT) and remain off ERT.